Cientistas mapearam a interação do sistema imunológico com diferentes tumores e identificaram alvos que podem tornar tratamento de câncer infantil raro mais eficaz.
Pesquisadores do Hospital de Amor, em Barretos, deram um passo importante na busca por tratamentos mais eficazes e menos agressivos contra tumores de células germinativas pediátricos (TCGs), que representam apenas 3% dos cânceres infantis, mas desafiam médicos pela raridade e diversidade.
O estudo, publicado na Frontiers in Immunology e premiado em congresso internacional de oncologia pediátrica, mapeou como o sistema imunológico interage com esses tumores e apontou potenciais alvos para terapias personalizadas no combate aos tipos desse câncer infantil raro.

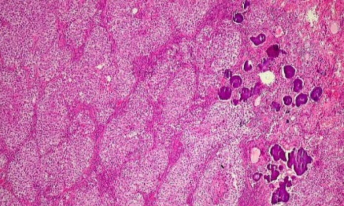
Foram analisadas amostras de 17 crianças diagnosticadas entre 2000 e 2021 — 11 tumores ovarianos, três testiculares e três do sistema nervoso central — além de tecidos normais de comparação. A equipe avaliou a expressão de 800 genes ligados à imunidade e identificou perfis imunológicos distintos para cada subtipo tumoral, como uma “assinatura biológica” capaz de prever comportamento clínico e resposta ao tratamento.

Nos disgerminomas, tumores exclusivos do ovário, observou-se grande infiltração de linfócitos T CD8+ e aumento de checkpoints imunológicos, sugerindo boa resposta a inibidores de checkpoint já usados em cânceres de adultos. Já os tumores do saco vitelino exibiram um ambiente mais agressivo, com células T exauridas e alta expressão de moléculas como CD24 e PVR, associadas à evasão imunológica e resistência à quimioterapia. Nos carcinomas embrionários também foi identificado aumento do CD24, reforçando seu potencial como biomarcador-chave para novas terapias direcionadas ao câncer infantil raro.
Segundo a pesquisadora Mariana Tomazini, orientadora do estudo, os resultados mostram que não basta aplicar protocolos genéricos a todos os TCGs: cada subtipo exige uma abordagem própria. Para crianças, isso pode significar terapias mais eficazes e com menos efeitos colaterais de longo prazo.
O reconhecimento internacional do trabalho, premiado no congresso da Sociedad Latinoamericana de Oncología Pediátrica, reforça sua relevância e abre caminho para novos ensaios clínicos que validem os achados em larga escala e ampliem as perspectivas de tratamento para os subtipos de câncer infantil raro.
